Ultraschallbilder - Weibliche Brust
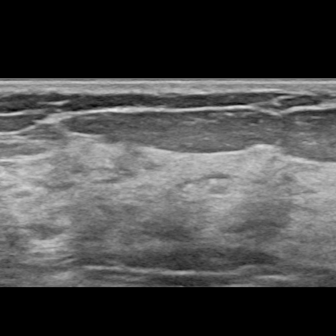
Bildtitel
Drüsenkörper: ACR-Kategorie 2
Button
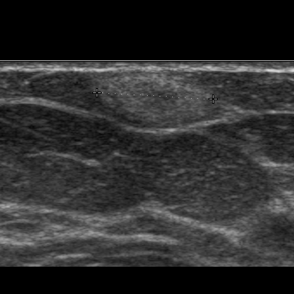
Bildtitel
Drüsenkörper: ACR-Kategorie 3
Button
Bildtitel
Zyste: Durch eine Kapsel abgeschlossener gutartiger Tumor mit flüssigem Inhalt
Button
Bildtitel
Milchausführungsgang: Deutlich erweitert mit glatter Wandbegrenzung und Kaliberschwankungen
Button
Bildtitel
Mehrere Lymphknoten in der Achsel: gutartig
Button-
Bildtitel
Lymphknoten in der Achsel: Gutartig
Button
Bildtitel
Fibroadenom: Gutartiger Tumor aus Drüsenzellen und Bindegewebe
Button-
Bildtitel
Lipom: Gutartiger Tumor der Fettgewebszellen
Button -
Bildtitel
Karzinom: Bösartiger Tumor
Button
Bildtitel
Lymphknoten in der Achsel: Bösartiger Tumor, hier Non-Hodgkin-Lymphom
Button
