Ultraschallbilder - 2. Schwangerschaftsdrittel
Bildtitel
Seitenventrikel
Button
Bildtitel
Kleinhirn
Button
Bildtitel
Gesichtsprofil
Button
Bildtitel
Button
Bildtitel
Button
Bildtitel
Button
Bildtitel
Button
Bildtitel
Button
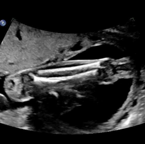
Bildtitel
Oberarmknochen
Button
Bildtitel
Unteram mit Speiche und Elle sowie Hand
Button
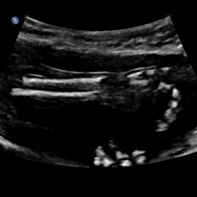
Bildtitel
Schien- und Wadenbein
Button
Bildtitel
Fuß
Button
Bildtitel
Plazenta mit zentralem Nabelschnuransatz
Button
Fet bei der Miktion
