Ultraschallbilder - 1. Schwangerschaftsdrittel
Bildtitel
6. SSW: Embryo, SSL 1 mm
Button
Bildtitel
6. SSW: Embryo SSL 2,5 mm
Button
Bildtitel
7. SSW: Embryo, SSL 4 mm
Button
Bildtitel
8. SSW: Embryo, SSL 15 mm
Button
Bildtitel
9. SSW: Embryo, SSL 19 mm
Button
Bildtitel
11. SSW
Button
Bildtitel
12. SSW: Embryo, SSL 51 mm
Button
Bildtitel
Button
Bildtitel
14. SSW Hand
Button
Bildtitel
14. SSW Männliches Geschlecht
Button
Bildtitel
14. SSW Weibliches Geschlecht
Button
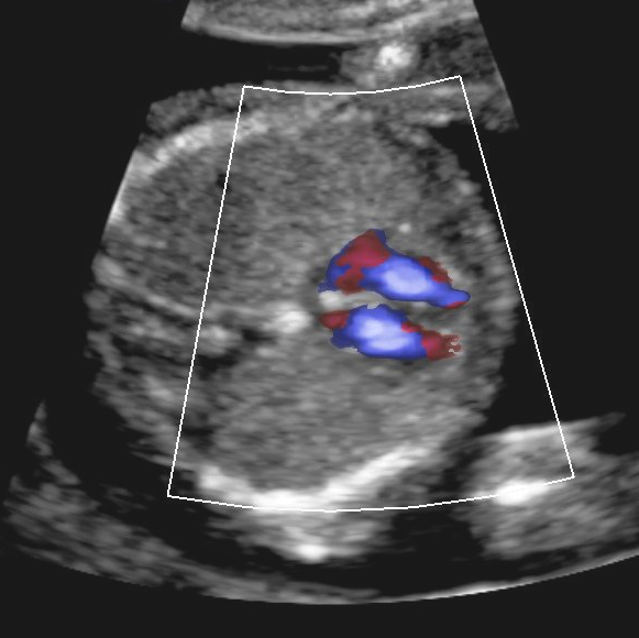
Bildtitel
Vierkammerblick
Button
Bildtitel
13. SSW: Fünfkammerblick
Button
Bildtitel
Pulmonalisblick
Button
Fet: 13. SSW
Fet: 14. SSW
